Recent Blog Posts
Family Dentist Office in Lake Forest, CA
Lake Forest, CA
Provides Services Within 48 Hours
Standard Upfront Fees
Offers Support in English and Sign Language
Request Lorem Epsom
Hero Request Form
Thank you for contacting us.
We will get back to you as soon as possible.
Please try again later.






Exceptional Dental Care for Your Family
Nicole E. Kuske, DDS is dedicated to improving smiles and oral health in Lake Forest, CA. Since 2016, we've provided personalized dental care with a focus on efficiency, clear pricing, and language accessibility. Our practice offers support in English, Farsi, and Sign Language. As a local, woman-owned business, we tailor our services to meet the specific needs of our community.
Dr. Kuske's skill and dedication earned her recognition as a 2018 Orange Coast Magazine Top Dentist. We offer a full range of dental services, from routine check-ups to advanced treatments, all in one convenient location. Our friendly staff aims to make your visit comfortable and positive. We also show our appreciation with a $25 gift card when you refer a friend. Ready to improve your oral health? Contact us today to begin your journey to a healthier smile.
Why ChooseNicole E. Kuske, DDS
Services Provided Within 48 Hours
Standard Upfront Fees
Support Available In English, Farsi, and Sign Language
Refer Someone and Receive a $25 Gift Card
HSA and FSA Accepted
Specializing In Apnea Solutions

Why Choose Our Dental Office in Lake Forest, CA
At Nicole E. Kuske, DDS, we believe that choosing a dental practice is a deeply personal decision-one built on trust, comfort, and expertise. As the top family dental office in Lake Forest, CA Dr. Kuske and her team commit to providing a warm, welcoming environment where every member of your family, from toddlers experiencing their first dental visit to seniors seeking restorative care, feels respected and cared for. With decades of combined experience, cutting-edge technology, and a gentle, patient-centered approach, our office blends professionalism and compassion in every appointment.
What sets us apart is not only our mastery of pediatric and family dentistry, but our dedication to listening. We understand that dental visits can be anxiety-provoking for many, so we offer transparent pricing, clear explanations, and an empathetic team that works to put you at ease. If you want the top family dentist in Lake Forest, CA, you deserve someone who not only has technical skill but also takes time to understand your concerns. Our office offers services within 48 hours, speaks multiple languages including English and Sign Language, and provides upfront cost details so there are no surprises. We strive to exceed your expectations by delivering high-quality dental care under one roof with modern tools like the iTero Scanner and Velscope for oral cancer screening. Every procedure, whether routine cleaning or complex cosmetic work, is performed with precision and care.
We promise to treat your smile as if it were our own, using trustworthy techniques, safe materials, and a strong commitment to ongoing education so we stay current with the latest in dental medicine. We never compromise on comfort, cleanliness, or long-term results. In every interaction with patients, parents, and children, we want you to feel confident that you made the right choice in selecting the top family dental office in Lake Forest, CA.
What a Family Dentist Can Do For You
A family dentist's role goes far beyond cleanings and fillings. As the trusted provider you look to for comprehensive oral health care, we offer services tailored to every age and every stage of life. If you are seeking the top dental office in Lake Forest, CA, you will find that we are prepared to address preventive care, diagnostic services, restorative care, dental emergencies, and cosmetic enhancements-all while coordinating care for infants, teens, adults, and elders.
From early childhood, a family dentist monitors growth and development, identifies habits that may impact alignment, and intervenes early when necessary. For teenagers, orthodontic solutions and preventive care are combined with guidance about nutrition, hygiene, and protecting enamel. For adults, we restore damaged teeth with crowns or bridges, replace missing teeth with implants, and maintain gum health to prevent disease. Our services include pediatric and family dentistry, cosmetic dentistry, same-day implants, preventive care, and more.
When problems arise-pain, sensitivity, or aesthetic concerns-you need a dentist who can respond with skill, urgency, and kindness. We pride ourselves on offering services within 48 hours, so that discomfort does not drag on. We also work closely with dental specialists when needed, coordinating referrals so that even complex cases are managed seamlessly. Choosing the top family dental office in Lake Forest, CA means you're selecting a practice that stands by you through routine, emergency, restorative, and cosmetic dental needs alike.
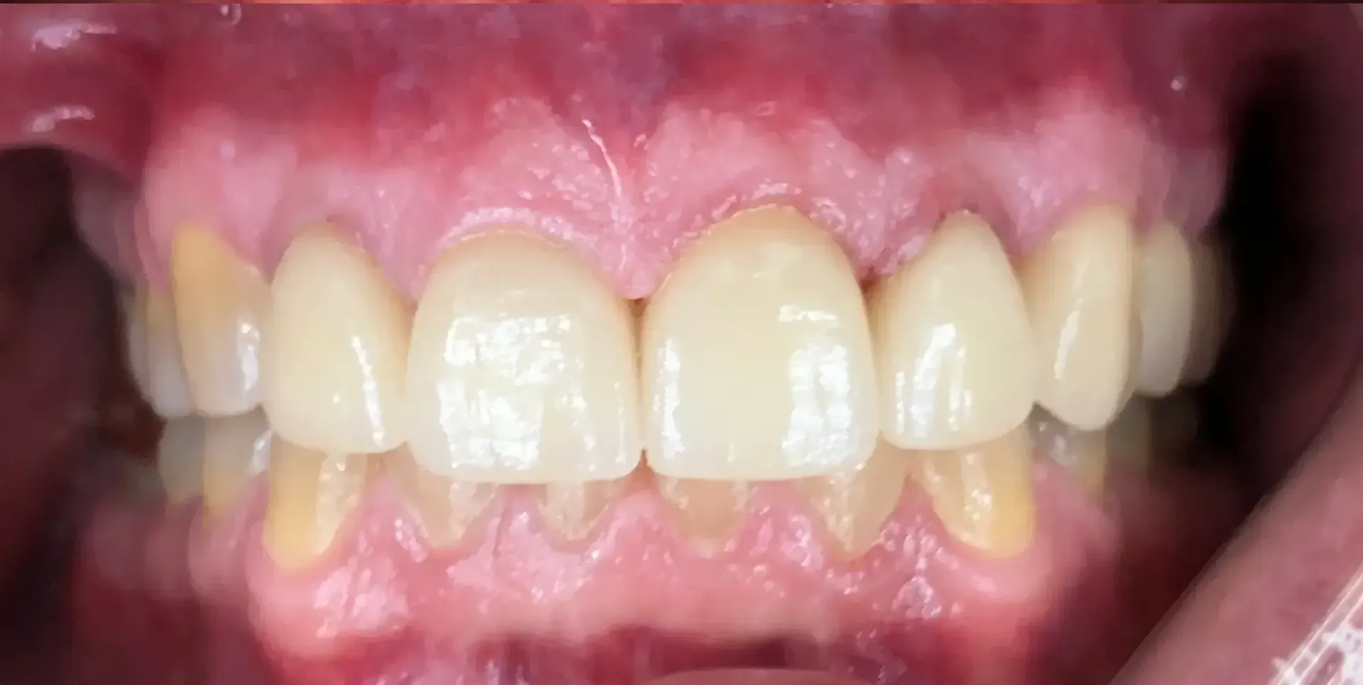
How Teeth Whitening Can Change Your Life
A bright, white smile is often more than cosmetic-it transforms confidence, self-image, and how people perceive you. Teeth whitening is one of the simplest, most accessible ways to refresh your appearance and take control of how you present yourself to the world. When you experience professional teeth whitening from the top dental office in Lake Forest, CA, you're investing in a smile that radiates health, positivity, and self-assurance.
Teeth whitening can make a powerful difference in your life. It can erase years of stains from coffee, wine, aging, or smoking, restoring a youthful brightness that many people assume is no longer attainable. A whiter smile can boost self-esteem, improve social and professional interactions, and even encourage better dental hygiene and care because people want to maintain their brightest look.
Undergoing a whitening treatment at our practice means you'll be guided through every step, from assessing the current shade of your teeth, determining the best whitening option for your needs, to advising on maintenance and limitations. With professional whitening, results often exceed those achievable with over-the-counter kits, thanks to stronger bleaching agents, custom trays or in-office treatments, and the careful oversight of a dental professional.
Your transformed smile can be the spark that changes your day-to-day life. And it can begin here, with our compassionate care, advanced technology, and commitment to helping you achieve results you never thought possible. If you are ready to see how teeth whitening can change your life, hands down, we are the top family dentist in Lake Forest, CA to make that transformation happen.

Cosmetic Dental Services
Enhance your smile with our range of cosmetic dental treatments. We offer personalized solutions from teeth whitening to veneers, designed to boost your confidence. Our experienced team works closely with each patient to create a treatment plan tailored to their unique needs and aesthetic goals. With the latest technology and techniques, we ensure results that are both natural-looking and long-lasting.
General Dentistry Services
Keep your oral health in check with our general dentistry care. We provide thorough cleanings, check-ups, and preventive treatments for long-lasting dental health. Our skilled dentists focus on early detection and personalized care to prevent issues before they become serious. We also educate patients on proper at-home dental habits to maintain a healthy smile between visits.


Periodontal and Gum Care Dentist
Safeguard your gums with our specialized periodontal treatments. We offer care to prevent and manage gum disease, supporting your overall oral health. Our team uses advanced techniques to treat existing conditions and promote healing, helping you maintain strong, healthy gums. Regular periodontal care also reduces the risk of more serious dental issues and contributes to your overall wellness.
Invisalign
Align your teeth subtly with Invisalign. Our custom clear aligners offer a comfortable alternative to braces for teens and adults.


Restorative Dentistry
Regain your smile's function and appearance with our restorative options. We use advanced techniques for fillings, crowns, and bridges to restore your natural smile.
Sleep Apnea
Improve your sleep with our dental solutions for sleep apnea. Dr. Kuske creates custom oral appliances to help you breathe easier and rest better.


Here's what our satisfied customers are saying...
At Nicole E. Kuske, DDS, we take pride in providing exceptional dental services to our patients. We would be grateful if you could share your thoughts about our dentristry with others. Your feedback helps us improve and helps others make informed decisions. Please take a moment to leave a review of Nicole E. Kuske, DDS and let others know what you think.








